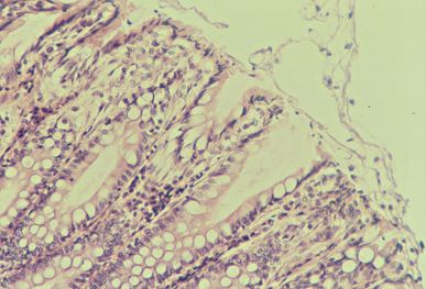
Autolyse post-mortem (diapo 1)