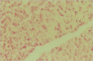
Déchirure (diapo 4)